

専門スタッフによるチーム医療と心に寄り添うコミュニケーション
当院では、初診時のカウンセリングから精密な診査・治療までは歯科医師が担当し、治療後の予防・クリーニングは歯科衛生士が担当する分業体制を採用しています。
歯科医師は診断と治療に責任を持ち、専門的な判断が必要な場面を一貫して担うことで、治療の質と安全性を高めています。一方、予防やメンテナンスの分野では、歯科衛生士がその専門性を最大限に発揮します。
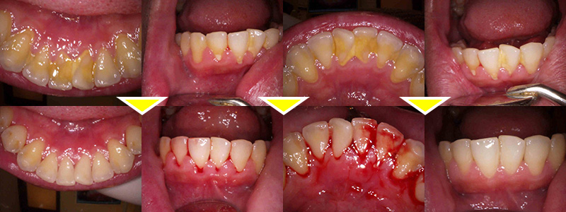
クリーニングをはじめとした予防処置においては、歯科衛生士が専門的な視点でお口全体を丁寧にチェックし、歯ぐきの状態や歯周病の兆候、わずかな変化も見逃しません。これにより、病気の早期発見・早期対応へとつなげることが可能になります。
それぞれの専門職が役割を明確にし、連携することで、患者様のお口の健康を長期的に守る体制を整えています。
矯正無料カウンセリング
理事長のみでの対応

他院で骨が少ないと診断された方も、
まずはご相談ください
医院全体で1000本以上の実績
安心のインプラント治療



当院では1000本を超えるインプラント治療の実績に基づき、CTによる精密な診断のもと、安全性を優先した治療計画を立案します。 骨造成など難度の高い症例にも対応可能です。 失われた歯の機能と見た目を取り戻すための、良質な方法をご提案します。

インプラント無料相談実施中!
理事長が担当
目立たないマウスピース矯正インビザライン
透明で取り外し可能なマウスピース型矯正装置「インビザライン」を専門に扱っています。
矯正治療はすべて理事長(忠縄)が一貫して担当。
CTで骨格まで把握した精密な診断で、安全かつ確実な治療を計画します。
矯正中の虫歯治療も院内で対応可能です。



医院全体で8000本以上の実績:自然で美しいセラミック治療
機能美を追求した、オーダーメイドの白い歯

セラミック治療
銀歯の見た目や歯の色・形にお悩みの方へ。 当院のセラミック治療は美しさだけでなく、長期的な機能性と耐久性も追求します。 豊富な実績に基づき、金属アレルギーの心配がない、虫歯になりにくい、自然な仕上がりを実現します。
経験だけに頼らない、科学的根拠に基づいた治療
CT・マイクロスコープ:精密治療を支える先進設備

精密
歯科治療
肉眼では捉えきれない微細な部分まで正確に把握するため、歯科用CTやマイクロスコープ(歯科用顕微鏡)を導入。 CTは骨や神経の位置を立体的に可視化し、マイクロスコープは20倍まで視野を拡大。 治療の精度を高め、再発リスクを抑えます。
全室個室。周りを気にせずリラックス
心安らぐ、リゾートホテルのような院内

全室
完全個室
歯科医院特有の緊張感を和らげる落ち着いたデザインの院内。 診療室はすべてプライバシーに配慮した完全個室です。 リラックスしてお悩みをご相談ください。


キッズコーナー・全室完全個室
キッズコーナー完備・完全個室で
快適な治療が可能な歯科医院

下北沢歯科医院では、小さなお子様からご年配の方まで幅広い年代の患者さまが通院されております。患者さまに快適に治療を受けていただけるよう、当院ではキッズコーナーの完備をはじめ、プライバシーに配慮した全室個室の診療室となっております。

絵本やおもちゃ
キッズコーナーには絵本やおもちゃをご用意しております。

親御さんも一緒に遊べます
キッズコーナーでは、親御さんも一緒に遊んでいただけます。




リスクを
軽減

CTで骨格から精密診断

院内で虫歯治療も完結

目立たず取り外し可能

MEDICAL
INFORMATION1
歯を残して守る
MEDICAL
INFORMATION2
歯を美しくする


ただなわデンタルクリニック/理事長
忠縄 龍哉
TATSUYA TADANAWA愛知学院大学歯学部 卒業
日本大学歯学部付属歯科病院にて勤務
都内歯科医院にて地域医療に従事(訪問診療含む)
都内大型医療法人インプラントセンターにて勤務
ただなわデンタルクリニック下北沢歯科医院 開院
ただなわデンタルクリニック祐天寺歯科 開院
当院で一緒に働きませんか?
STAFF募集中!
当医院では、集患増加にともない新しいスタッフを募集しています。
詳細は各職種よりご確認ください。院内見学やお問い合わせもお気軽にご連絡ください。皆様からのご応募、お待ちしております。






































