キッズコーナー・全室完全個室下北沢の歯医者|下北沢歯科医院
03-6886-2809
平日(土曜)10:00〜13:30 15:00〜19:00
日曜・祝日 09:00〜13:00 14:00〜18:00
水曜休診
ホーム
医院紹介
設備紹介
料金表
よくある質問
お知らせ
コラム
初診案内
理事長あいさつ
スタッフ紹介
治療メニュー
虫歯治療・根管治療
歯周病治療・歯茎の再生治療
成人矯正(マウスピース矯正)
小児歯科・小児矯正治療
審美治療
ホワイトニング
予防歯科・クリーニング
口腔外科・親知らず治療
噛み合わせ・顎関節症治療
インプラント治療
ガムピーリング(歯茎の色素沈着除去)
入れ歯治療
ボツリヌス治療
口臭治療
症例
インプラント
ホワイトニング
マウスピース矯正
むし歯治療
入れ歯治療
審美歯科
歯周病治療
矯正治療
アクセス
求人
歯科衛生士
歯科助手・受付
キッズコーナー・全室完全個室下北沢の歯医者|下北沢歯科医院
ホーム
医院紹介
設備紹介
料金表
よくある質問
お知らせ
コラム
初診案内
理事長あいさつ
スタッフ紹介
治療メニュー
虫歯治療・根管治療
歯周病治療・歯茎の再生治療
成人矯正(マウスピース矯正)
小児歯科・小児矯正治療
審美治療
ホワイトニング
予防歯科・クリーニング
口腔外科・親知らず治療
噛み合わせ・顎関節症治療
インプラント治療
ガムピーリング(歯茎の色素沈着除去)
入れ歯治療
ボツリヌス治療
口臭治療
症例
インプラント
ホワイトニング
マウスピース矯正
むし歯治療
入れ歯治療
審美歯科
歯周病治療
矯正治療
アクセス
求人
歯科衛生士
歯科助手・受付
TOP
>
マウスピース矯正
症例一覧
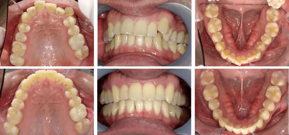
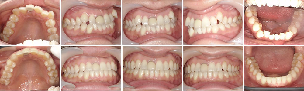
マウスピース矯正(インビザライン)で八重歯を改善した症例
年齢
30代
性別
女性
症例を見る
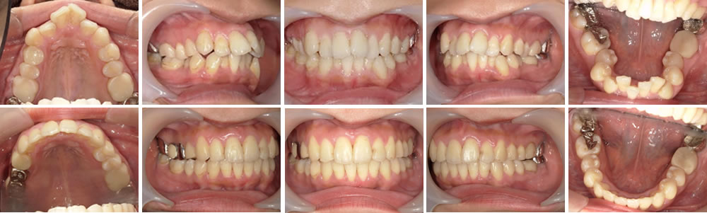
マウスピース矯正(インビザライン)で前歯のがたつきを改善した症例
年齢
20代
性別
男性
症例を見る
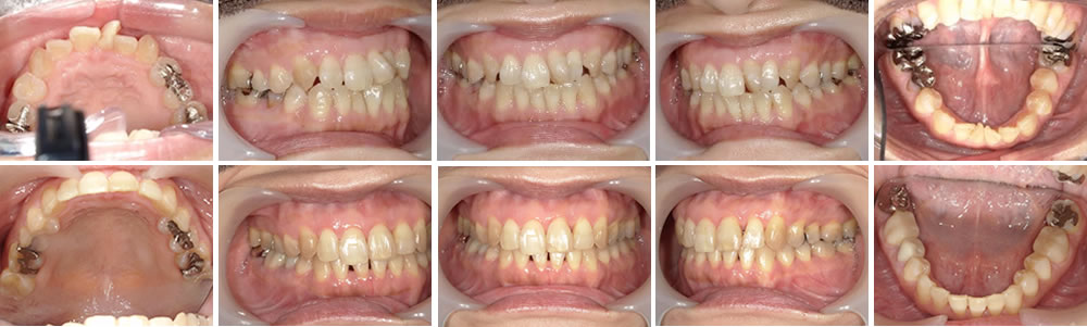
マウスピース矯正(インビザライン)で過蓋咬合を改善した症例
年齢
20代
性別
女性
症例を見る
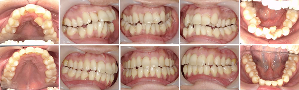
マウスピース矯正(インビザライン)で出っ歯と隙間を改善した症例
年齢
20代
性別
男性
症例を見る
マウスピース矯正(インビザライン)による非抜歯矯正の症例
年齢
20代
性別
女性
症例を見る
マウスピース矯正(インビザライン)捻じれと叢生を改善した症例
年齢
30代
性別
女性
症例を見る
マウスピース矯正(インビザライン)叢生と出っ歯を改善した症例
年齢
20代
性別
女性
症例を見る
マウスピース矯正(インビザライン)叢生を改善した症例
年齢
20代
性別
女性
症例を見る
マウスピース矯正(インビザライン)で歯のガタツキを改善した症例
年齢
40代
性別
男性
症例を見る
マウスピース矯正(インビザライン)で前歯の歯並びを改善した症例
年齢
30代
性別
女性
症例を見る
カテゴリー
インプラント
ホワイトニング
マウスピース矯正
むし歯治療
入れ歯治療
審美歯科
歯周病治療