| 年齢 | 20代 |
|---|---|
| 性別 | 女性 |
| 費用 | 矯正検査料 33,000円 インビザライン 902,000円 管理料/調整料 5,500円(2ヵ月に1回) |
| 治療期間 | 2年6ヵ月 |
| 副作用・リスク | 虫歯、歯肉炎、歯の変色、歯根吸収、歯肉退縮、治療期間の延長、知覚過敏、歯の痛み、顎の痛み、発音障害、装置除去時の歯の亀裂、その他随伴症状が生じる可能性があります。 |
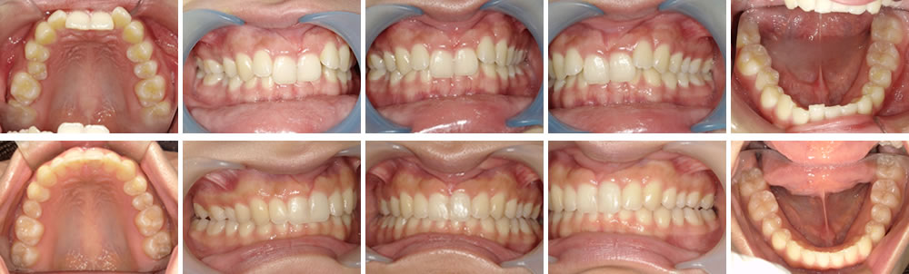
マウスピース矯正(インビザライン)で過蓋咬合を改善した症例

こちらの患者さまは、前歯の見た目が気になるとのことで矯正希望で来院されました。
初診時は、上の前歯2本が過蓋咬合で下の前歯が見えず、側切歯の突出感もありました。マウスピース矯正(インビザライン)後は、気になっていたガタつきもなくなり、過蓋咬合も改善されました。前歯でものが噛み切りやすくなり、患者さまにも大変満足いただけました。

