| 年齢 | 20代 |
|---|---|
| 性別 | 男性 |
| 費用 | 矯正検査料 33,000円 インビザライン 902,000円 管理料/調整料 5,500円(2ヵ月に1回) |
| 治療期間 | 6ヵ月 |
| 副作用・リスク | 虫歯、歯肉炎、歯の変色、歯根吸収、歯肉退縮、治療期間の延長、知覚過敏、歯の痛み、顎の痛み、発音障害、装置除去時の歯の亀裂、その他随伴症状が生じる可能性があります。 |
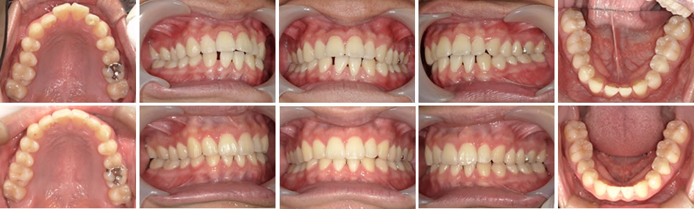
マウスピース矯正(インビザライン)で出っ歯と隙間を改善した症例

上の前歯の突出感が気になるということでインビザラインでの矯正治療をご希望された患者さまです。
下の前歯は側切歯が左右で1本ずつ先天性欠損のため、隙間が大きく開いており、歯石が溜まりやすい等の問題もあったため、隙間を埋めるよう設計しました。
治療後は一番気になっていた上の前歯の突出感も改善され、下の前歯の隙間もなくなり、上下でしっかりと噛み合うようになりました。

