| 年齢 | 50代 |
|---|---|
| 性別 | 男性 |
| 費用 | インプラント治療(上部ジルコニア含め) 407,000円 骨造成 154,000円 |
| 治療期間 | 4ヵ月 |
| 治療回数 | 5回 |
| 副作用・リスク | ・経年的に歯茎が下がる事があります ・定期的にメンテナンスを行わず清掃不良の場合、インプラント周囲炎になり脱離する事があります ・骨としっかり結合せず、再オペが必要になる事があります ・糖尿病など、全身状態によっては治療が難しくなります ・骨の量によっては行う事が出来ない可能性があります |
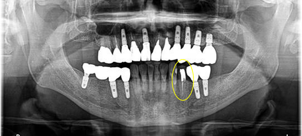
歯根破折した歯を抜歯後にインプラントで治療した症例
こちらの患者さまは、歯に痛みがあるとの主訴で来院されました。

レントゲン検査等したところ、神経を取った歯の治療後予後が悪く根っこが破折していることが判明しました。患者さまと相談し、破折歯を抜歯後にインプラント治療にて咬み合わせを回復することになりました。
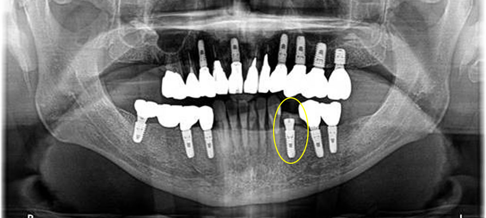
インプラント手術の実施


歯を支えている骨の損傷が大きかったため、骨造成(骨を増やす処置)も追加で行いました。支えがないとせっかく打ったインプラントもしっかり固まらないため、骨造成が効果的なケースがあります。
上部構造の装着・治療完了


治療後はレントゲンでも確認できるように骨もしっかりと再生し、今では固いものも噛めるようになり、患者さまに大変満足いただけました。

