| 年齢 | 40代 |
|---|---|
| 性別 | 女性 |
| 費用 | インプラント治療(上部ジルコニア含め) 407,000円 骨造成 110,000円 |
| 治療期間 | 4ヵ月 |
| 治療回数 | 4回 |
| 副作用・リスク | ・経年的に歯茎が下がる事があります ・定期的にメンテナンスを行わず清掃不良の場合、インプラント周囲炎になり脱離する事があります ・骨としっかり結合せず、再オペが必要になる事があります ・糖尿病など、全身状態によっては治療が難しくなります ・骨の量によっては行う事が出来ない可能性があります |
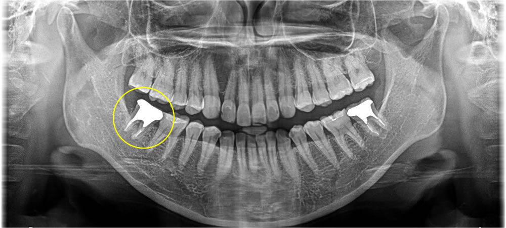
痛みのある歯を抜歯してインプラントで治療した症例

何もしていなくても歯が痛いという事で来院された患者さまです。CT写真を撮影し、診断したところ、分岐部病変、根尖嚢胞が確認できました。治療方針について患者さまと相談した結果、当該歯を抜歯してインプラント治療を希望されました。

当該歯を抜歯してインプラントを埋入しました。

インプラント埋入時に骨造成(骨の再生を促す治療)を一緒に行いました。そこから4ヵ月待ち、上部にジルコニアの歯を装着して治療完了です。自身の歯と変わらない感覚でしっかり噛むことができるようになり、満足して頂くことができました。

