| 年齢 | 40代 |
|---|---|
| 性別 | 女性 |
| 費用 | セラミックインレー 55,000円 |
| 治療期間 | 2週間 |
| 治療回数 | 3回 |
| 副作用・リスク | ・欠けたり外れたりする事が稀にあります |
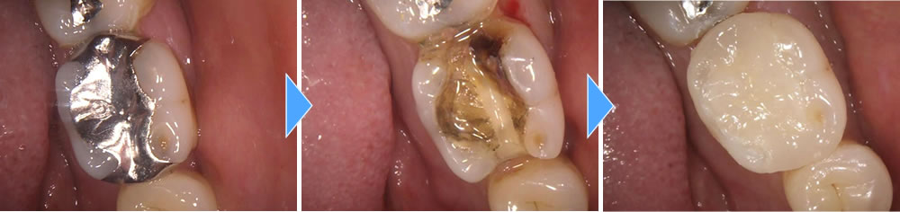
虫歯治療後にセラミックインレーで修復した症例

こちらの患者さまは金属の詰め物の中が虫歯になっていました。中の虫歯を綺麗に取り除き、セラミックの詰め物を作成しました。結果見た目も自然になりました。セラミックは金属と違い2次的な虫歯になりにくいので歯にも優しい素材です。

こちらの患者さまは金属の詰め物の中が虫歯になっていました。中の虫歯を綺麗に取り除き、セラミックの詰め物を作成しました。結果見た目も自然になりました。セラミックは金属と違い2次的な虫歯になりにくいので歯にも優しい素材です。
| 年齢 | 40代 |
|---|---|
| 性別 | 女性 |
| 費用 | セラミックインレー 55,000円 |
| 治療期間 | 2週間 |
| 治療回数 | 3回 |
| 副作用・リスク | ・欠けたり外れたりする事が稀にあります |