キッズコーナー・全室完全個室下北沢の歯医者|下北沢歯科医院

症例

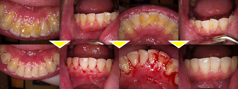
下顎前歯部に縁上歯石、全額的に縁下歯石の沈着の歯周病治療症例

こちらの患者さまはクリーニング希望とのことで来院されました。

検査の結果、部分的にEPP(ポケット深め)4~5㎜、BOP(出血多い)(⁺⁺⁺)症状が見られました。
セルフケアは歯ブラシでのブラッシングのみ、補助的清掃用具の使用はしていないとのことで、DCでのクリーニングは10年ぶりでした。

下顎前歯部に縁上歯石が目立ち、全額的に縁下歯石の沈着も見受けられたため、歯周病治療を行うことを提案しました。
歯石が多かったこととプラークコントロール不良のため歯肉の腫脹、発赤が目立ったため、初日は縁上歯石の除去、プラークコントロールのしやすい環境にし、ブラッシング指導をメインに行いました。

1週間後 プラークコントロールの改善により表面的な歯肉の腫脹、発赤の改善がみられたため縁下歯石の除去(スケーリングルートプレーニング)を行いました。
2週間後 歯肉の内面の炎症も引き、より引き締まった歯肉に改善、出血量も軽減し、全額的なプラークコントロールも改善されました。
モチベーションもアップし、フロス等の補助的清掃用具も使用するようになりました。

現在は定期的なクリーニングに来院していただき、キレイな状態を保っています

年齢30代
性別男性
費用保険の範囲内で1回2~3,000円程度
治療期間3週間
治療回数3回(その後はリコールにて通院中)
副作用・リスク・歯茎の腫れや炎症がある場合は稀に出血や痛みを伴うことがあります。

・使用するパウダーの成分にアレルギーがある場合はエアフロークリーニングを受けることができません。

症例:カテゴリー

予約 お問い合わせ