| 年齢 | 40代 |
|---|---|
| 性別 | 男性 |
| 費用 | 保険治療 |
| 治療期間 | 約3週間 |
| 治療回数 | クリーニング1回 歯周病治療2回 |
| 副作用・リスク | ・歯茎が引き締まる事によって歯茎の位置が下がり、知覚過敏が起こる事があります。 ・歯石除去の際に痛みを感じたり、歯茎から出血したりする場合があります |
クリーニング・歯石除去によって歯周病の症状を改善した症例
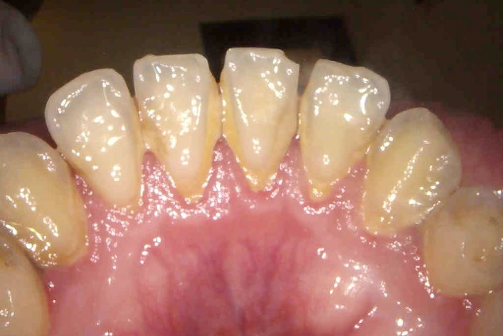
治療前


治療後


こちらの患者さまは、歯石が気になるとの主訴で歯科医院へ来院されました。
歯科医院を受診されたのは、5年ぶりとのことで、歯石がかなり分厚く沈着しており歯肉もかなり腫脹していました。まずは縁上の歯石除去、歯磨きの指導、さらに歯周病治療によって縁下歯石を除去しました。
歯肉の炎症の改善がみられてから歯面清掃を行い、歯面に薄く沈着した着色の除去も行いました。初回のクリーニングから約3週間でほぼ完全に歯肉の炎症が改善、赤く腫れた歯肉が薄いピンク色の健康的な歯肉にまりました。
薄く引き締まった歯肉のほうが歯周ポケットが浅くなり、汚れが溜まりにくいため、浅いポケットの状態を保つことで歯周病のリスクを下げることにつながります。
現在はセルフケアと定期的なメインテナンスを行うことにより、キレイな状態を維持しています。

