| 年齢 | 30代 |
|---|---|
| 性別 | 男性 |
| 費用 | 大臼歯ジルコニアクラウン 132,000円 ファイバーコア 11,000円 |
| 治療期間 | 2週間 |
| 治療回数 | 3回 |
| 副作用・リスク | ・欠けたり外れたりする事が稀にあります |
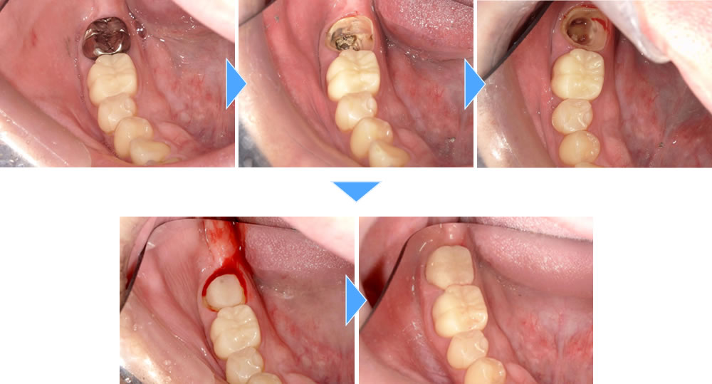
虫歯になった銀歯をジルコニアクラウンで治療した症例

金属の被せ物と金属の土台を除去後、中の虫歯の処置をしてファイバーの土台を作成しました。その後、上部にジルコニアをセットして治療完了です。周囲の歯と違和感なく、自然な仕上がりとなりました。

金属の被せ物と金属の土台を除去後、中の虫歯の処置をしてファイバーの土台を作成しました。その後、上部にジルコニアをセットして治療完了です。周囲の歯と違和感なく、自然な仕上がりとなりました。
| 年齢 | 30代 |
|---|---|
| 性別 | 男性 |
| 費用 | 大臼歯ジルコニアクラウン 132,000円 ファイバーコア 11,000円 |
| 治療期間 | 2週間 |
| 治療回数 | 3回 |
| 副作用・リスク | ・欠けたり外れたりする事が稀にあります |