| 年齢 | 20代 |
|---|---|
| 性別 | 女性 |
| 費用 | セラミックインレー 55,000円 |
| 治療期間 | 2週間 |
| 治療回数 | 3回 |
| 副作用・リスク | ・欠けたり外れたりする事が稀にあります |
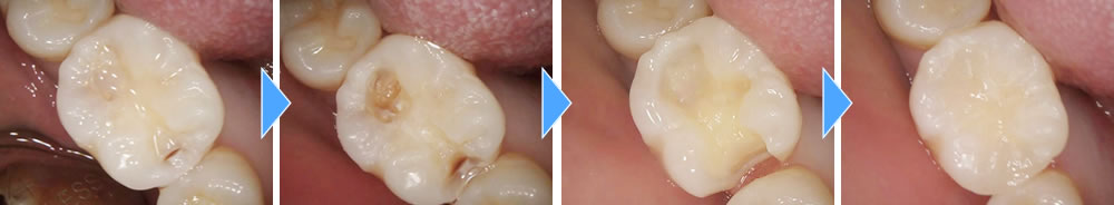
歯の内部まで進行した虫歯を除去しセラミックで治療した症例

歯の外側から穴の空いてきている所の虫歯を除去していった所、内部まで虫歯が拡がっていました。丁寧に虫歯を取り切り、神経を保護する処置を行った後にセラミックの詰め物で修復しました。結果、自然で綺麗な仕上がりになりました。

歯の外側から穴の空いてきている所の虫歯を除去していった所、内部まで虫歯が拡がっていました。丁寧に虫歯を取り切り、神経を保護する処置を行った後にセラミックの詰め物で修復しました。結果、自然で綺麗な仕上がりになりました。
| 年齢 | 20代 |
|---|---|
| 性別 | 女性 |
| 費用 | セラミックインレー 55,000円 |
| 治療期間 | 2週間 |
| 治療回数 | 3回 |
| 副作用・リスク | ・欠けたり外れたりする事が稀にあります |