| 年齢 | 30代 |
|---|---|
| 性別 | 男性 |
| 費用 | セラミックインレー 55,000円 |
| 治療期間 | 2週間 |
| 治療回数 | 3回 |
| 副作用・リスク | ・欠けたり外れたりする事が稀にあります |
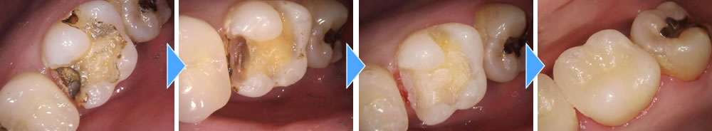
銀歯が外れた歯をセラミックインレーで修復した症例

金属の詰め物が取れた歯が虫歯になっていました。虫歯を除去し、神経を保護する処置を行った後、セラミックの詰め物を作成しました。自然な仕上がりになり、患者さまにも喜んでいただけました。

金属の詰め物が取れた歯が虫歯になっていました。虫歯を除去し、神経を保護する処置を行った後、セラミックの詰め物を作成しました。自然な仕上がりになり、患者さまにも喜んでいただけました。
| 年齢 | 30代 |
|---|---|
| 性別 | 男性 |
| 費用 | セラミックインレー 55,000円 |
| 治療期間 | 2週間 |
| 治療回数 | 3回 |
| 副作用・リスク | ・欠けたり外れたりする事が稀にあります |