| 年齢 | 30代 |
|---|---|
| 性別 | 女性 |
| 費用 | 矯正検査料 33,000円 インビザライン 352,000円 管理料/調整料 5,500円(2ヵ月に1回) |
| 治療期間 | 3ヵ月 |
| 副作用・リスク | 虫歯、歯肉炎、歯の変色、歯根吸収、歯肉退縮、治療期間の延長、知覚過敏、歯の痛み、顎の痛み、発音障害、装置除去時の歯の亀裂、その他随伴症状が生じる可能性があります。 |
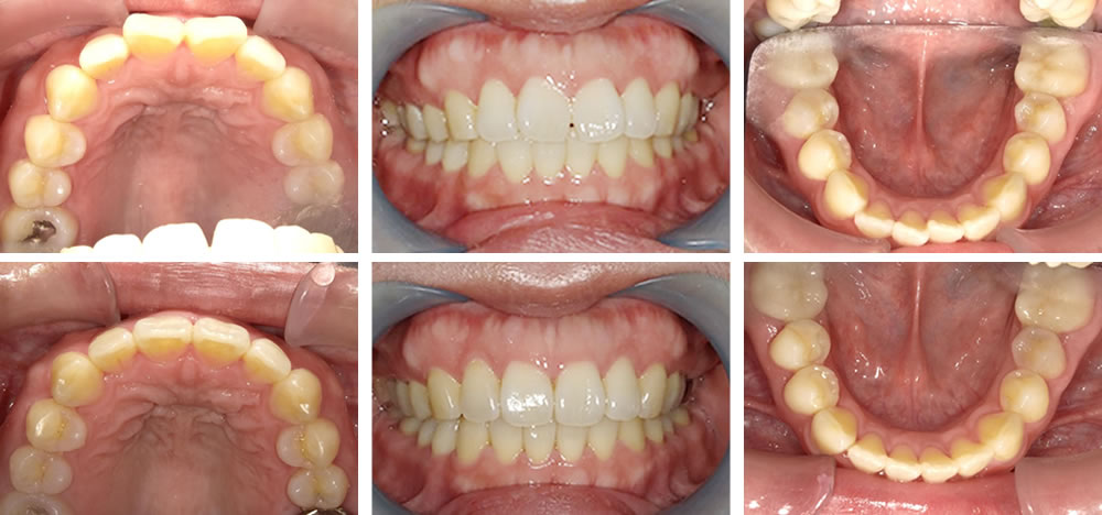
マウスピース矯正で前歯の歯並びを改善した症例

こちらの患者さまは前歯の傾きが気になるという事で矯正治療を希望されました。今回は前歯のみを動かす矯正治療にて、歯並びの改善を行いました。結果、短期間で並びを改善する事ができました。矯正後の保体装置としては、取り外しをする事ができるマウスピース型リテーナーを使用しました。

