| 年齢 | 20代 |
|---|---|
| 性別 | 女性 |
| 費用 | セラミックインレー 55,000円 |
| 治療期間 | 1週間 |
| 治療回数 | 2回 |
| 副作用・リスク | ・欠けたり外れたりする事が稀にあります |
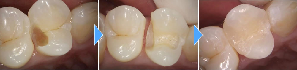
歯間部分の虫歯治療後にセラミックインレーで修復した症例

歯と歯の間の発見しづらい虫歯を治療していきました。通常は見逃しがちな虫歯です。まず虫歯を綺麗に取り除きます。

詰め物を作成するために形を整え、型取りを行いました。今回は2次的な虫歯にならないようにしたいという事で、セラミックの詰め物を選択されました。結果違和感も無く、綺麗な仕上がりになりました。

