| 年齢 | 40代 |
|---|---|
| 性別 | 男性 |
| 費用 | 抜歯 5,500円 インプラント治療(上部ジルコニア含め) 451,000円 骨造成 187,000円 治療用義歯 110,000円 |
| 治療期間 | 5ヵ月 |
| 治療回数 | 8回 |
| 副作用・リスク | ・経年的に歯茎が下がる事があります ・定期的にメンテナンスを行わず清掃不良の場合、インプラント周囲炎になり脱離する事があります ・骨としっかり結合せず、再オペが必要になる事があります ・糖尿病など、全身状態によっては治療が難しくなります ・骨の量によっては行う事が出来ない可能性があります |
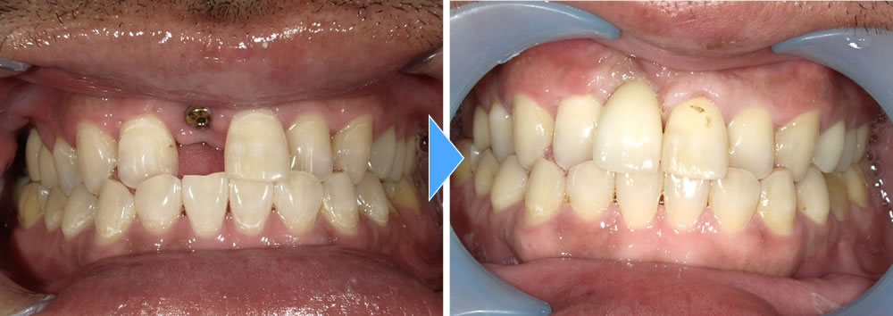
破折した前歯を抜歯してインプラントで治療した症例
こちらの患者さまは、右上の前歯がグラつくとのことで来院されました。

口腔内検査の結果、右上1番の歯に2~3度の動揺を確認。レントゲン画像にて、縦に破折線が見られ、それが原因で膿がたまり、歯槽骨を溶かしてしまっていたため、歯の動揺が生じていました。
患者さまと相談し、保存不可能な破折歯を抜歯してインプラントで咬み合わせを修復する計画を立てました。
抜歯~インプラント埋入手術の実施


骨欠損の範囲がかなり大きかったため、インプラント体の安定のため骨造成も同時に行いました。インプラントと骨が結合するまでの期間は、歯が無いと前歯なので見た目が悪いとの事で、治療用義歯(ノンクラスプ)を作成し、見た目の改善を行いました。また、待機期間中にホワイトニングも行い、より審美的にこだわって上部構造を作製しました。
上部構造の装着・治療完了

術後は固いものを噛むことはもちろん、天然歯との違いがほとんどわからないほど自然な見た目になり、機能的にも審美的にも大変満足していただけました。
現在は定期的なクリーニングとホワイトニングにて通院していただき、キレイな状態を保っています。

