| 年齢 | 20代 |
|---|---|
| 性別 | 女性 |
| 費用 | セラミックインレー 55,000円 |
| 治療期間 | 2週間 |
| 治療回数 | 3回 |
| 副作用・リスク | ・欠けたり外れたりする事が稀にあります |
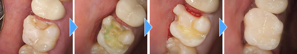
2次カリエスを治療後にセラミックインレーで修復した症例

昔の詰め物が欠けて放置していた所が虫歯になっていたので、検知液を使用して虫歯を取り切った事を確認した後、セラミックの詰め物で修復しました。

昔の詰め物が欠けて放置していた所が虫歯になっていたので、検知液を使用して虫歯を取り切った事を確認した後、セラミックの詰め物で修復しました。
| 年齢 | 20代 |
|---|---|
| 性別 | 女性 |
| 費用 | セラミックインレー 55,000円 |
| 治療期間 | 2週間 |
| 治療回数 | 3回 |
| 副作用・リスク | ・欠けたり外れたりする事が稀にあります |