| 年齢 | 20代 |
|---|---|
| 性別 | 女性 |
| 費用 | 矯正検査料 33,000円 インビザライン 935,000円 管理料/調整料 5,500円(2ヵ月に1回) |
| 治療期間 | 1年8ヵ月 |
| 副作用・リスク | 虫歯、歯肉炎、歯の変色、歯根吸収、歯肉退縮、治療期間の延長、知覚過敏、歯の痛み、顎の痛み、発音障害、装置除去時の歯の亀裂、その他随伴症状が生じる可能性があります。 |
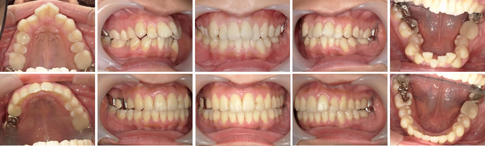
マウスピース矯正(インビザライン)叢生・出っ歯を改善した症例

こちらの患者さまは歯並びがガタガタな状態(叢生)と前歯が出っ歯になっているのが気になるという事で目立たない・取り外せるマウスピース(インビザライン)矯正で歯並びの改善を行いました。結果、綺麗な歯並びになり、満足していただく事ができました。
保定装置としては、取り外しが可能なマウスピース型のリテーナーを使用しました。

