| 年齢 | 20代 |
|---|---|
| 性別 | 男性 |
| 費用 | インプラント治療(上部ジルコニア含め) 5番:429,000円 6番:407,000円 骨造成 176,000円 |
| 治療期間 | 4ヵ月 |
| 治療回数 | 7回 |
| 副作用・リスク | ・経年的に歯茎が下がる事があります ・定期的にメンテナンスを行わず清掃不良の場合、インプラント周囲炎になり脱離する事があります ・骨としっかり結合せず、再オペが必要になる事があります ・糖尿病など、全身状態によっては治療が難しくなります ・骨の量によっては行う事が出来ない可能性があります |
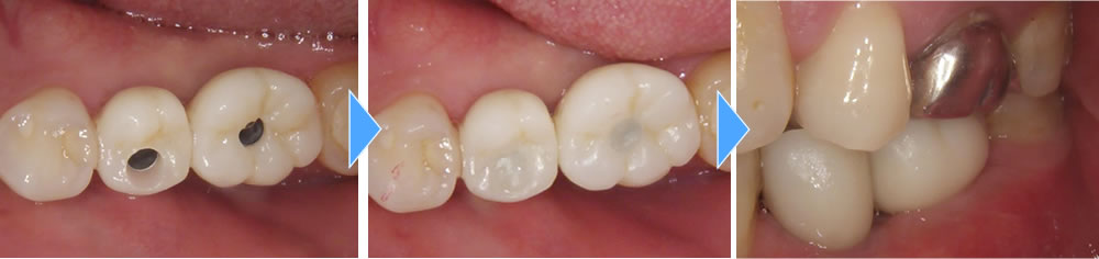
保存不可能な2本の歯を抜歯後にインプラントで治療した症例

こちらの患者さまは、左下の奥歯が噛むとジンジン痛いとのことで来院されました。
レントゲンでの検査の結果、昔他院で神経の処置をした歯の根っこに膿が溜まって炎症が起こっていることが痛みの原因であることがわかりました。
インプラント治療の実施

放置してしまった期間が長かったせいで手前の歯にも膿が溜まってしまっていたため、2本抜歯し、インプラントを埋入しました。膿が大きく、骨の欠損範囲も大きかったため、骨を増やすための骨造成も合わせて行いました。
上部構造の装着・治療完了

製作した上部構造を装着し、最終的な咬み合わせを調整して治療完了となりました。骨造成を行ったため、インプラントも骨としっかりと定着し、硬いものも問題なく噛むことができるようになりました。

