| 年齢 | 50代 |
|---|---|
| 性別 | 女性 |
| 費用 | CT検査 0円 インプラント治療(上部ジルコニア含め) 前歯 451,000円 骨造成 88,000円 右下大臼歯 407,000円 骨造成 88,000円 左上小臼歯 429,000円 左上大臼歯 407,000円 |
| 治療期間 | 6ヵ月 |
| 治療回数 | 12回 |
| 副作用・リスク | ・経年的に歯茎が下がる事があります ・定期的にメンテナンスを行わず清掃不良の場合、インプラント周囲炎になり脱離する事があります ・骨としっかり結合せず、再オペが必要になる事があります ・糖尿病など、全身状態によっては治療が難しくなります ・骨の量によっては行う事が出来ない可能性があります |
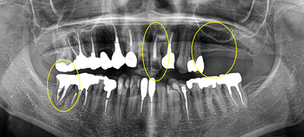
保存不可能な歯を抜歯即時インプラントで治療した症例

こちらの患者さまは、前歯がグラグラ揺れて痛い、右下奥歯が痛い、左側で噛む事ができるようになりたいとの主訴で来院されました。保存する事ができない歯にインプラント治療を行いたいというご希望でしたので、相談しながら治療計画を立案しました。

まず一番時間がかかる歯から治療を行ないました。保存不可能な右下奥歯を抜きインプラントを埋入し、骨がなくならないよう骨造成を行いました。次に前歯のインプラントを行いました。前歯は審美性もより考えて行うため、歯を抜きインプラントを埋入し、特殊な縫合を行い歯茎をしっかりと閉じていきました。最後に元々歯のないところにインプラントを埋入していきました。こちらは骨が元々ある場所なので、切開を最小限に抑え1本に対して6ミリ程度の切開幅でオペを行いました。それにより、術後の腫れ、痛みを最小限に抑える事ができました。


しっかりと骨とインプラント体が結合するのを待つため、5ヵ月待機した後に上部に歯を作成していきました。結果、審美的回復、機能的回復をする事ができました。

