| 年齢 | 30代 |
|---|---|
| 性別 | 女性 |
| 費用 | ジルコニアクラウン×5歯 825,000円 |
| 治療期間 | 3週間 |
| 治療回数 | 3回 |
| 副作用・リスク | ・欠けたり外れたりする事が稀にあります |
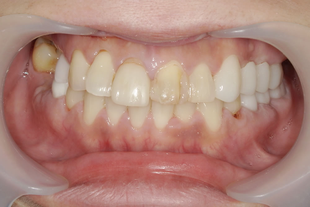
見た目の悪い前歯をセラミッククラウンで修復した症例
こちらは前歯の見た目が気になるとのことで来院された患者さまです。
奥歯がクラウンなので、そこに合わせて前歯もセラミッククラウンにしたいとご希望されました。

支台形成・仮歯の装着・型取りの実施

過去に他院で治療されたかぶせ物は歯肉の退縮により根が露出しているため、患者さまの希望により除去し、一回の治療で形成、仮歯に置き換え、後日歯肉の回復を待ってから型取りまで行いました。
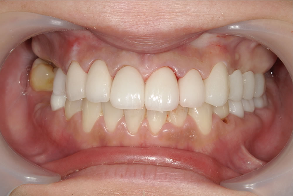
セラミッククラウンの装着・治療完了
完成したセラミッククラウンを装着し、咬み合わせを調整して治療完了です。
治療後は奥歯と均一の色味になり、見た目、機能面ともに大変満足していただいております。


