Before
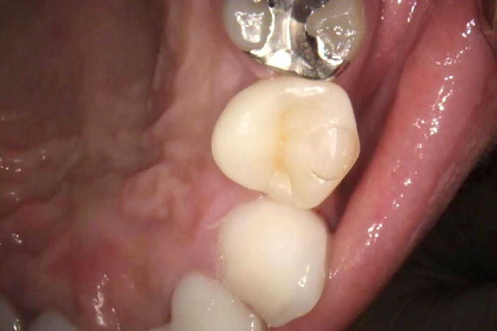
After
| 年齢 | 40代 |
|---|---|
| 性別 | 男性 |
| 費用 | CT検査 0円 インプラント治療 (上部ジルコニア含め) 小臼歯 429,000円 骨造成 88,000円 大臼歯 407,000円 骨造成 110,000円 |
| 治療期間 | 4ヵ月 |
| 治療回数 | 4回 |
| 副作用・リスク | ・経年的に歯茎が下がる事があります ・定期的にメンテナンスを行わず清掃不良の場合、インプラント周囲炎になり脱離する事があります ・骨としっかり結合せず、再オペが必要になる事があります ・糖尿病など、全身状態によっては治療が難しくなります ・骨の量によっては行う事が出来ない可能性があります |





