キッズコーナー・全室完全個室下北沢の歯医者|下北沢歯科医院
03-6886-2809
平日(土曜)10:00〜13:30 15:00〜19:00
日曜・祝日 09:00〜13:00 14:00〜18:00
水曜休診
ホーム
医院紹介
設備紹介
料金表
よくある質問
お知らせ
コラム
初診案内
理事長あいさつ
スタッフ紹介
治療メニュー
虫歯治療・根管治療
歯周病治療・歯茎の再生治療
成人矯正(マウスピース矯正)
小児歯科・小児矯正治療
審美治療
ホワイトニング
予防歯科・クリーニング
口腔外科・親知らず治療
噛み合わせ・顎関節症治療
インプラント治療
ガムピーリング(歯茎の色素沈着除去)
入れ歯治療
ボツリヌス治療
口臭治療
症例
インプラント
ホワイトニング
マウスピース矯正
むし歯治療
入れ歯治療
審美歯科
歯周病治療
矯正治療
アクセス
求人
歯科衛生士
歯科助手・受付
キッズコーナー・全室完全個室下北沢の歯医者|下北沢歯科医院
ホーム
医院紹介
設備紹介
料金表
よくある質問
お知らせ
コラム
初診案内
理事長あいさつ
スタッフ紹介
治療メニュー
虫歯治療・根管治療
歯周病治療・歯茎の再生治療
成人矯正(マウスピース矯正)
小児歯科・小児矯正治療
審美治療
ホワイトニング
予防歯科・クリーニング
口腔外科・親知らず治療
噛み合わせ・顎関節症治療
インプラント治療
ガムピーリング(歯茎の色素沈着除去)
入れ歯治療
ボツリヌス治療
口臭治療
症例
インプラント
ホワイトニング
マウスピース矯正
むし歯治療
入れ歯治療
審美歯科
歯周病治療
矯正治療
アクセス
求人
歯科衛生士
歯科助手・受付
TOP
>
症例
>
ページ 2
症例一覧
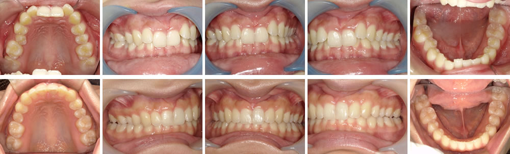
マウスピース矯正(インビザライン)で八重歯を改善した症例
年齢
30代
性別
女性
症例を見る
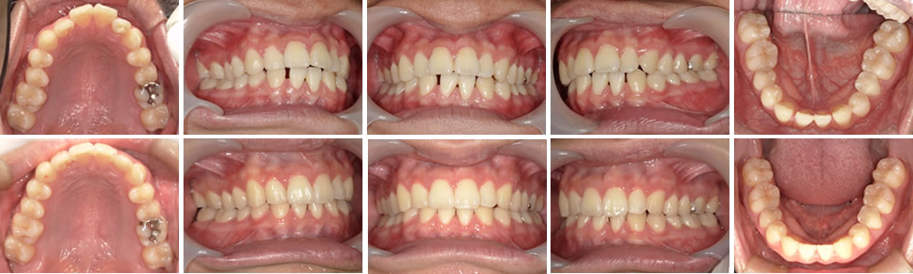
マウスピース矯正(インビザライン)で前歯のがたつきを改善した症例
年齢
20代
性別
男性
症例を見る
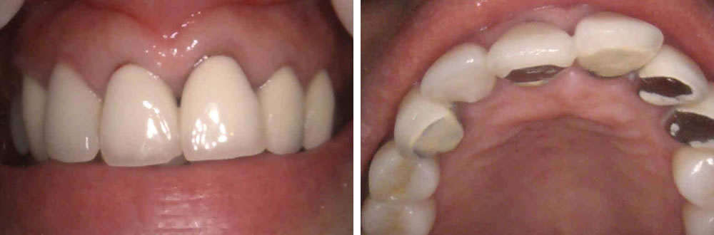
保存不可能な歯を抜歯してインプラントで修復した症例
年齢
50代
性別
女性
症例を見る
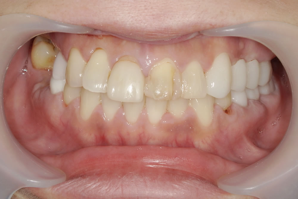
破折した前歯を抜歯してインプラントで治療した症例
年齢
40代
性別
男性
症例を見る
歯根に膿が溜まった歯を抜歯してインプラントで治療した症例
年齢
30代
性別
女性
症例を見る
破折歯を抜歯即時埋入インプラントで治療した症例
年齢
50代
性別
女性
症例を見る
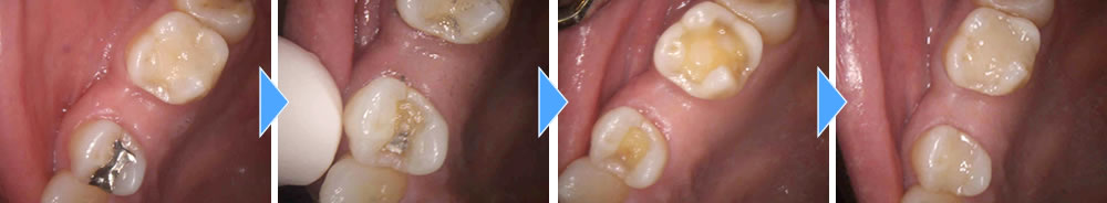
虫歯治療後にセラミックインレーで修復した症例
年齢
40代
性別
女性
症例を見る
根尖性歯周炎の歯を抜歯即時埋入インプラントで治療した症例
年齢
50代
性別
男性
症例を見る
歯の着色をエアフロークリーニングで改善した症例
年齢
20代
性別
女性
症例を見る
二次むし歯を治療後にハイブリッドインレーで修復した症例
年齢
20代
性別
男性
症例を見る
カテゴリー
インプラント
ホワイトニング
マウスピース矯正
むし歯治療
入れ歯治療
審美歯科
歯周病治療
«
1
2
3
4
5
...
»
最後 »