| 年齢 | 30代 |
|---|---|
| 性別 | 女性 |
| 費用 | 歯石取り 保険診療 上下エアフロー 9,900円(税込) |
| 治療期間 | 2週間 |
| 治療回数 | 2回 |
| 副作用・リスク | ・歯茎の腫れや炎症がある場合は稀に出血や痛みを伴うことがあります。 ・使用するパウダーの成分にアレルギーがある場合はエアフロークリーニングを受けることができません。 |
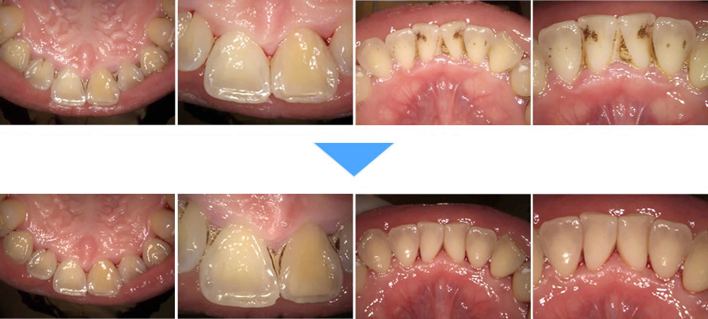
歯周病治療後にエアフローで歯の着色を除去した症例

こちらの患者さまは着色が気になるとのことで来院されました。
検査の結果、硬い着色の沈着と中等度の歯周病が見受けられました。患者さまと相談し、まず歯周病の治療を行い歯肉の状態を良くしてから、エアフロー(ジェットクリーニング)でのクリーニング法をご希望されました。
まず磨き方の見直し、補助的清掃用具の使用の徹底、歯ぐきの上の歯石を除去し、磨きやすい環境にしました。一週間後、歯ぐきの腫れが引いてから、歯ぐきの中の歯石取りをしました。
歯周病治療終了後、1週間ほどあけて歯ぐきの状態が落ち着いてからエアフロー(ジェットクリーニング)で着色を除去し、トリートメントで整えました。物理的に取れる着色はほとんど除去することができ、見た目もキレイになり、その後は定期的なクリーニングで現在の状態を保っていただいています。

