| 年齢 | 50代 |
|---|---|
| 性別 | 女性 |
| 費用 | CT検査 0円 インプラント治療(上部ジルコニア含め) 左上小臼歯 429,000円 左上大臼歯 407,000円 骨造成66,000円 右下大臼歯 407,000円 |
| 治療期間 | 5ヵ月 |
| 治療回数 | 6回 |
| 副作用・リスク | ・経年的に歯茎が下がる事があります ・定期的にメンテナンスを行わず清掃不良の場合、インプラント周囲炎になり脱離する事があります ・骨としっかり結合せず、再オペが必要になる事があります ・糖尿病など、全身状態によっては治療が難しくなります ・骨の量によっては行う事が出来ない可能性があります |
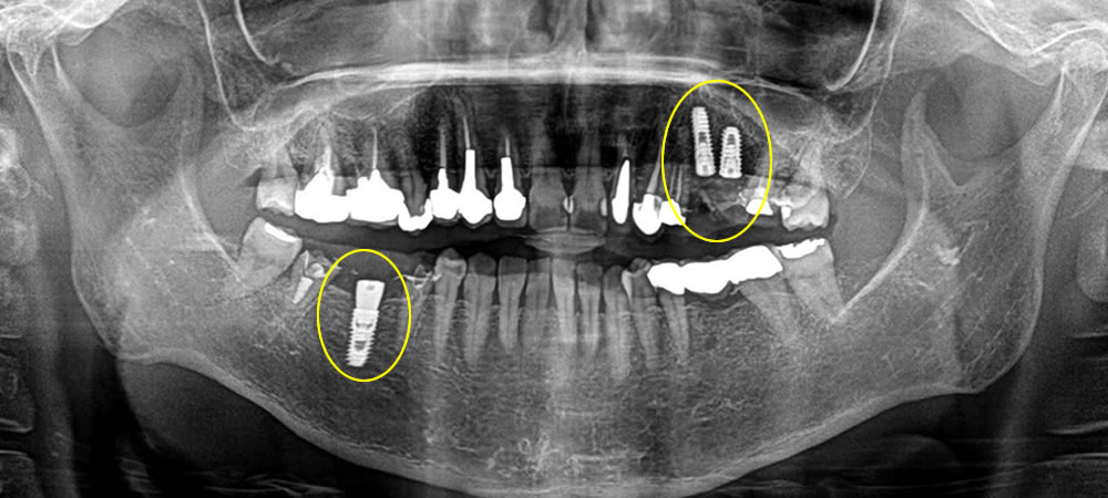
痛みのあるブリッジの歯をインプラントで治療した症例

こちらの患者さまは左上のブリッジ治療を行っている歯が痛いとの事で来院されました。左上はブリッジのつけてある歯が1本割れてしまっていたので、その歯を抜いて治療していく事になりました。

まずブリッジを除去し、残す事のできない歯を抜き、元々歯のない部位と歯を抜いた部位にインプラント治療を行いました。歯を抜き、即時でインプラントを入れる部位には埋入と同時に骨を作る処置(骨造成)を行い、特殊な縫合で傷口を閉鎖し、歯茎の形態も同時に調整していきました。

次に右下のブリッジの入っている部位もインプラントに変えていきたいとの希望により、ブリッジを除去し歯の無い部位にインプラントを埋入しました。

元々歯の無い部位に行う埋入は7ミリ程度の切開にて行いました。低侵襲で行う事により、痛み腫れを最小限に抑えて施術を行う事ができました。


