| 年齢 | 30代 |
|---|---|
| 性別 | 男性 |
| 費用 | CT検査 0円 骨造成110,000円 インプラント治療 (上部ジルコニア含め)407,000円 |
| 治療期間 | 5ヵ月 |
| 治療回数 | 4回 |
| 副作用・リスク | ・経年的に歯茎が下がる事があります ・定期的にメンテナンスを行わず清掃不良の場合、インプラント周囲炎になり脱離する事があります ・骨としっかり結合せず、再オペが必要になる事があります ・糖尿病など、全身状態によっては治療が難しくなります ・骨の量によっては行う事が出来ない可能性があります |
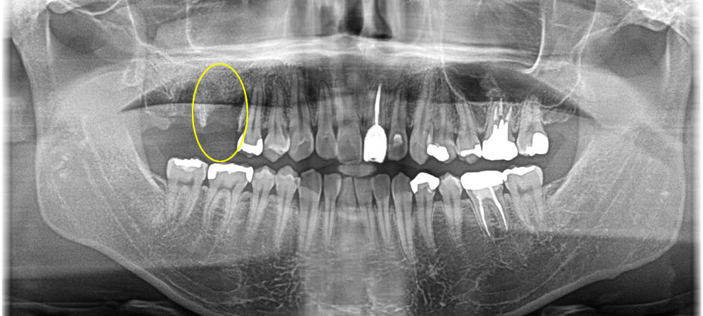
他院で抜歯した部分をインプラントで治療した症例

こちらの患者さまは、他院にて歯を抜いて歯が無くなっている所にインプラント治療を行いたいとの事で来院されました。

まずは割れた歯の根が残っていたので除去した後、中の膿が溜まっている所を綺麗にし即時でインプラントを埋入、骨を作る処置までを行いました。

ほっぺた側の骨が無くなっていましたが、しっかりと骨を作る事で歯茎の下がりを最小限に抑えることができました。
インプラント治療完了後の口腔内写真

最後は綺麗な歯を作成しセットし咬合の回復をしました。

