| 年齢 | 20代 |
|---|---|
| 性別 | 女性 |
| 費用 | 上下顎エアフロー 9,900円(税込) |
| 治療期間 | 1日 |
| 治療回数 | 1回 |
| 副作用・リスク | ・歯茎の腫れや炎症がある場合は稀に出血や痛みを伴うことがあります。 ・使用するパウダーの成分にアレルギーがある場合はエアフロークリーニングを受けることができません。 |
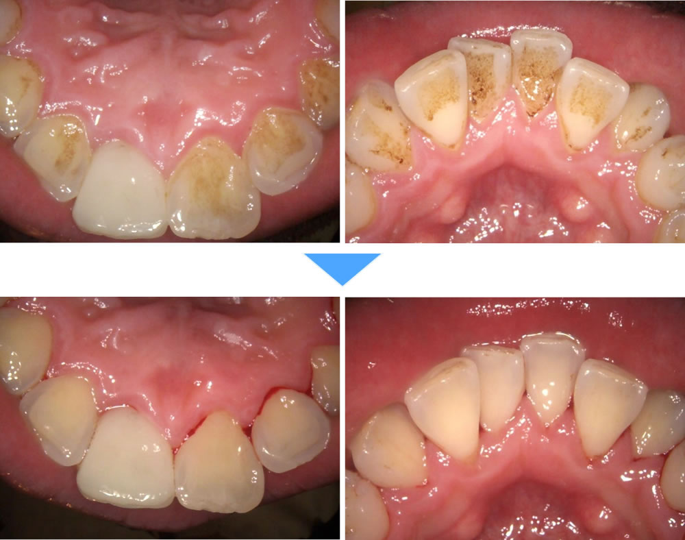
歯の着色をエアフロークリーニングで改善した症例

こちらの患者さまは、コーヒーやお茶類を良く飲むため、着色が気になるとの主訴で来院されました。短時間で着色汚れが取り除くことのできるエアフロークリーニングを希望されました。
かたくなった着色がきれいに落ち、歯の表面もつるつるになり、大変満足していただけました。
現在は定期的にクリーニングにて、着色がかたくなる前にメインテナンスを行い、キレイな状態を保っています。

