| 年齢 | 60代 |
|---|---|
| 性別 | 女性 |
| 費用 | ジルコニアクラウン 176,000円×2本 |
| 治療期間 | 3週間 |
| 治療回数 | 3回 |
| 副作用・リスク | ・欠けたり外れたりする事が稀にあります |
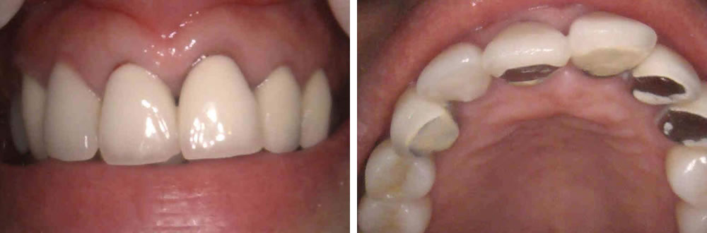
見た目が気になる前歯をジルコニアクラウンで改善した症例

こちらの患者さまは、数年前に行った前歯の被せ物の歯茎が歯周病により下がり、見た目が気になるとのことで来院されました。被せ物自体が古く、表層にも欠けが見られたため、歯周病治療を行った後に被せ物自体を作り直すことになりました。

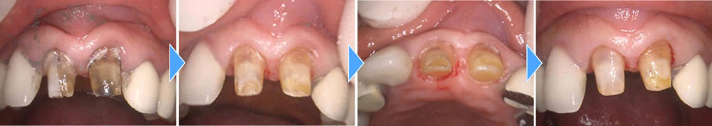
古いかぶせ物を除去後、一度仮歯に置き換えました。その後土台を形成し直し、左上の前歯の突出感を抑えるよう設計して新しいかぶせ物をオーダーしました。

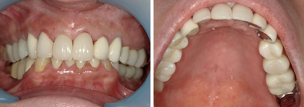
完成したジルコニアクラウンを装着して治療完了です。治療後はかぶせ物はもちろん、歯並びもきれいになり、大変満足してただくことができました。

