| 年齢 | 20代 |
|---|---|
| 性別 | 女性 |
| 費用 | CT検査 0円 骨造成 88,000円 インプラント治療(上部ジルコニア含め)429,000円 |
| 治療期間 | 4ヵ月 |
| 治療回数 | 5回 |
| 副作用・リスク | ・経年的に歯茎が下がる事があります ・定期的にメンテナンスを行わず清掃不良の場合、インプラント周囲炎になり脱離する事があります ・骨としっかり結合せず、再オペが必要になる事があります ・糖尿病など、全身状態によっては治療が難しくなります ・骨の量によっては行う事が出来ない可能性があります |
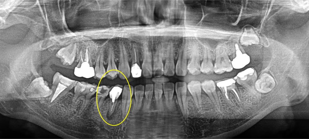
保存不可能な歯を即日インプラントで治療した症例

こちらの患者さまは、右下の歯が痛く、他院にて残す事ができないと診断されたのことでインプラント治療の症例数が多い当院へ来院されました。

まず保存不可能な歯を抜いた後、中に溜まっている肉芽を全て除去し、即日でインプラント埋入を行い、骨の無くなっている所は骨を作る処置を行いました。しっかりと縫合し、歯茎に包帯のような物を付けて終了しました。この包帯は1週間後に除去し、糸は2週間後に取っていきました。


そこから4ヵ月間の待機後、しっかりと骨とインプラント体が結合している事を確認し、上部の歯を使っていきました。結果、咬合も回復し、綺麗な歯を作る事ができました。

