| 年齢 | 50代 |
|---|---|
| 性別 | 女性 |
| 費用 | インプラント右下5番(上部ジルコニア含め) 429,000円 骨造成 88,000円 インプラント右下6番(上部ジルコニア含め) 407,000円 インプラント右下7番(上部ジルコニア含め) 407,000円 骨造成 77,000円 |
| 治療期間 | 4ヵ月 |
| 治療回数 | 6回 |
| 副作用・リスク | ・経年的に歯茎が下がる事があります ・定期的にメンテナンスを行わず清掃不良の場合、インプラント周囲炎になり脱離する事があります ・骨としっかり結合せず、再オペが必要になる事があります ・糖尿病など、全身状態によっては治療が難しくなります ・骨の量によっては行う事が出来ない可能性があります |
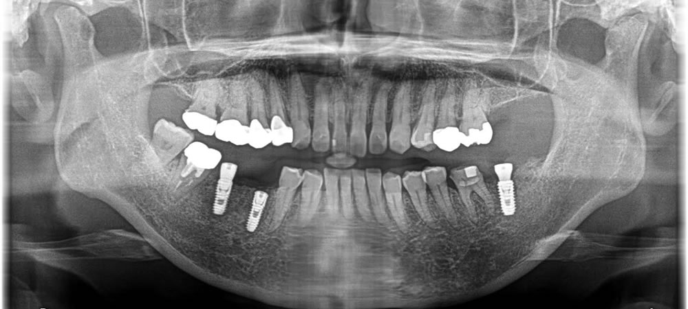
右下のブリッジを除去しインプラント治療を行った症例
▼痛みを感じるブリッジの支台歯と割れた歯を抜歯後、インプラントで治療した症例をご紹介します。

右下ブリッジの部分と左の奥歯が痛むとの主訴で来院された患者さまです。ブリッジの支台歯は感染を起こして痛みが強く出ており、左の奥歯は歯が割れて痛みがあるという状態でした。残しておくリスク、治療方針を話し合い、インプラント治療を行うことに同意を得ました。

ブリッジを除去して支台歯を抜き、フィクスチャー埋入しました。骨を作る処置まで1回で行いました。その後、1週間後に消毒を行い、2週間後に抜糸を行いました。そこから人工の根と骨がしっかりとくっつくまで4ヵ月待機し、上部に歯を作成しました。
反対側は、抜歯、フィクスチャー埋入、骨造成までを1回のオペで行い、3ヵ月待機して上部に歯を作成しました。

歯を抜くと骨が一気に吸収されてしまうため、それを最小限に抑えるために骨造成もしっかりと行ったことによって、ほぼ骨の吸収がなく治療を完了する事ができました。

