| 年齢 | 60代 |
|---|---|
| 性別 | 男性 |
| 費用 | CT検査 0円 インプラント治療(上部ジルコニア含め) 左上大臼歯 407,000円 左上小臼歯 429,000円 テンポラリーアバット 22,000円 プロビジョナルレストレーション(仮歯) 5,500円 |
| 治療期間 | 3ヵ月 |
| 治療回数 | 5回 |
| 副作用・リスク | ・経年的に歯茎が下がる事があります ・定期的にメンテナンスを行わず清掃不良の場合、インプラント周囲炎になり脱離する事があります ・骨としっかり結合せず、再オペが必要になる事があります ・糖尿病など、全身状態によっては治療が難しくなります ・骨の量によっては行う事が出来ない可能性があります |
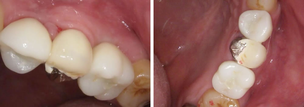
痛みのあるブリッジの歯をインプラントで治療した症例


元々歯のない前歯には、最小限の切開(8ミリ程度)にてインプラントの埋入と共に仮の歯を装着し、見た目も即日で回復していきました。

また、奥の歯はCT写真にて骨が弱っていたため、しっかりと歯茎を切開し、骨の状態を確認しながら施術を行っていきました。

手術後3ヵ月間は治癒期間を設け、しっかりと骨とオステオインテグレーションしている事を確認し、上部の歯を作成していきました。

結果、しっかりと噛む事ができ、審美的にも回復する事ができました。

