銀歯をセラミックインレーで修復した症例|下北沢の歯医者

  • 「下北沢」駅4分の歯医者
  • 東京都世田谷区北沢3-34-5 橋本ビル1F
  • 03-6886-2809
  • 下北沢歯科医院ネット予約

銀歯をセラミックインレーで修復した症例

銀歯をセラミックインレーで修復した症例

セラミックインレーで修復した症例

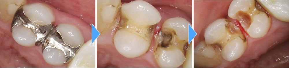
こちらの患者さまは金属の詰め物を綺麗にしたいという事で来院されました。まずは金属の詰め物を除去しました。金属の詰め物ですとやはり2年も経つと中の歯が虫歯になってしまいます。

セラミックインレーで修復した症例

虫歯を綺麗に除去し、型取りを行い自然なセラミックの詰め物を作成しました。違和感なく自然な歯に見える仕上がりになりました。

年齢・性別 30代 女性
治療期間 2週間
治療回数 2回
治療費(税込) セラミックインレー 55,000円×2
想定されるリスク 欠けたり外れたりする事が稀にあります

つめ物・かぶせ物(審美治療)ページ>>

トップへ戻る