キッズコーナー・全室完全個室下北沢の歯医者|下北沢歯科医院
03-6886-2809
平日(土曜)10:00〜13:30 15:00〜19:00
日曜・祝日 09:00〜13:00 14:00〜18:00
水曜休診
ホーム
医院紹介
設備紹介
料金表
よくある質問
お知らせ
コラム
初診案内
理事長あいさつ
スタッフ紹介
治療メニュー
虫歯治療・根管治療
歯周病治療・歯茎の再生治療
成人矯正(マウスピース矯正)
小児歯科・小児矯正治療
審美治療
ホワイトニング
予防歯科・クリーニング
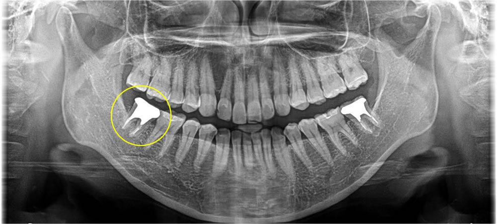
口腔外科・親知らず治療
噛み合わせ・顎関節症治療
インプラント治療
ガムピーリング(歯茎の色素沈着除去)
入れ歯治療
ボツリヌス治療
口臭治療
症例
インプラント
ホワイトニング
マウスピース矯正
むし歯治療
入れ歯治療
審美歯科
歯周病治療
矯正治療
アクセス
求人
歯科衛生士
歯科助手・受付
キッズコーナー・全室完全個室下北沢の歯医者|下北沢歯科医院
ホーム
医院紹介
設備紹介
料金表
よくある質問
お知らせ
コラム
初診案内
理事長あいさつ
スタッフ紹介
治療メニュー
虫歯治療・根管治療
歯周病治療・歯茎の再生治療
成人矯正(マウスピース矯正)
小児歯科・小児矯正治療
審美治療
ホワイトニング
予防歯科・クリーニング
口腔外科・親知らず治療
噛み合わせ・顎関節症治療
インプラント治療
ガムピーリング(歯茎の色素沈着除去)
入れ歯治療
ボツリヌス治療
口臭治療
症例
インプラント
ホワイトニング
マウスピース矯正
むし歯治療
入れ歯治療
審美歯科
歯周病治療
矯正治療
アクセス
求人
歯科衛生士
歯科助手・受付
TOP
>
症例
>
ページ 7
症例一覧
歯と歯の間の虫歯を除去しセラミックインレーで修復した症例
年齢
30代
性別
男性
症例を見る
歯の内部まで進行した虫歯を除去しセラミックインレーで治療した症例
年齢
20代
性別
女性
症例を見る
2次カリエスを治療後にセラミックインレーで修復した症例
年齢
20代
性別
女性
症例を見る
古い銀歯を除去しハイブリッドインレーで審美修復した症例
年齢
20代
性別
男性
症例を見る
銀歯のかぶせ物を除去しセラミッククラウンで修復した症例
年齢
40代
性別
男性
症例を見る
金属のつめ物を取り除きセラミックで修復した症例
年齢
40代
性別
女性
症例を見る
金属のつめ物と虫歯を除去しセラミックインレーで修復した症例
年齢
30代
性別
女性
症例を見る
虫歯で穴が空いた歯をセラミックインレーで修復した症例
年齢
30代
性別
男性
症例を見る
銀歯の下の虫歯を除去後にセラミックインレーで治療した症例
年齢
30代
性別
男性
症例を見る
エアフローで歯の汚れを取り除いた症例
年齢
30代
性別
男性
症例を見る
カテゴリー
インプラント
ホワイトニング
マウスピース矯正
むし歯治療
入れ歯治療
審美歯科
歯周病治療
« 先頭
«
...
5
6
7
8
9
»